Ungarn Rezept Tip: Hörnchen mit Quarkfüllung
Gebackenes Hörnchen mit Qarkfüllung (von Krisztina Duboczky):
Ein beliebtes Alltagsrezept aus meiner Kindheit. Meine Oma fragte mich immer, was sie für mich kochen soll, wenn ich zu Besuch gekommen war. Meine Antwort lautete oft: Hörnchen...
Auch in Ungarn ist das Rettungssystem gut ausgebaut
Das Rettungssystem ist auch in Ungarn gut ausgebaut. Auch in ländlichen Gebieten ist gewährleistet, dass im Notfall schnell ein Notarzt vor Ort ist.
In Debrecen ist beispielsweise ein Rettungshubschrauber am Flughafen stationiert. Das Fluggerät wird...
Günstige Ungarn Flüge von Eindhoven
Wer günstig in den Osten Ungarns reisen möchte kann dies von Eindhoven erreichen. Von dem holländischen kleinen Flughafen startet zweimal pro Woche, jeweils Dienstags und Samstags ein Flug nach Debrecen.
Die Günstig-Airline Wizzair hat diese...
Ungarn Rezept-Tip: Zünftiges ungarisches Kartoffelgericht!
Dubóczky Krisztinas Rezept:
Belegte Kartoffeln, wie ich es mache.:-)
Wir in Ungarn fertigen diese Speise sehr gerne an. Das originelle Rezept ist ein bisschen anders und die Zubereitungszeit ist länger, jetzt gebe ich ihnen eine schnellere...
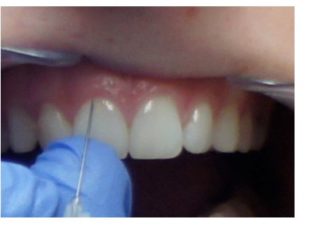
Moderne Zahnarztpraxis in Mosonmagyarovar bietet perfekte Voraussetzungen für Angstpatienten
In Ungarn wird modernste Technik eingesetzt. bei unserem besuch der Zahnarztpraxen in Ungarn stellen wir fest, das immer mehr modernste Technik eingesetzt wird und der Patient in besten Händen ist.
In der Praxis HD-dental in...
Nützliche Info! Zuschüsse zum Zahnersatz in Ungarn
Zahnersatz
Als Zahnersatz gelten Kronen, Brücken, Prothesen, Implantate. Nicht dazu gehören Zahnfüllungen, Gold- oder Keramik-Inlays, Wurzelkanalfüllungen oder Röntgenleistungen. Zahnersatz gehört zum Leistungskatalog der gesetzlichen Krankenversicherung (GKV).Nach dem Gesundheitsmodernisierungsgesetz vom Januar 2004 haben Versicherte Anspruch auf...
Budapest auch die Stadt für Verliebte
Wir kennen es zum Beispiel aus Köln von Severinsbrücke, Rheinbrücke...Hier haben bereits Zehntausende Verliebte ihre Schlösser an das Brückengeländer gehangen und den Schlüssel für das Schloss symbolisch in den Rhein geworfen. Die Liebe soll...
In Ungarn wurde an Silvester ordentlich geballert! 3000 Notrufe bei der Rettungsleitstelle
Die Silvesternacht wurde in Ungarn ordentlich gefeiert. neben den großen Feuerwerken in den Städten gab es ebenfalls zahlreiche Großveranstaltungen.
Diese Veranstaltungen hielten jedoch auch die Rettungskräfte in diesem Jahr richtig auf Trab. Über 3000 Notrufe...












